Lisfranc injury: assessment and management in emergency departments
Injuries to the tarsometatarsal joint complex, also referred to as a Lisfranc injury, are relatively uncommon presentations to emergency departments (EDs), however accurate diagnosis is vital to prevent the risk of long-term disability. Advanced nurse practitioners (ANPs) must use a broad range of clinical skills to manage patients’ injuries effectively. A high level of suspicion, recognition of the clinical manifestations of Lisfranc injury and appropriate radiographic images are required to formulate a correct diagnosis.
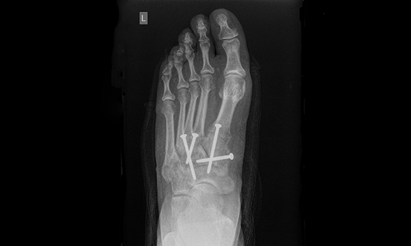
This article describes Lisfranc injuries, revises the anatomy of the midfoot, and discusses diagnosis and management. It includes a case study to illustrate assessment and management of a patient who presented to an ED with a Lisfranc injury following a fall from a height and considers the diagnostic decisions and management options available to ANPs.
