Clinical
Advanced nurse practitioner-led abdominal therapeutic paracentesis
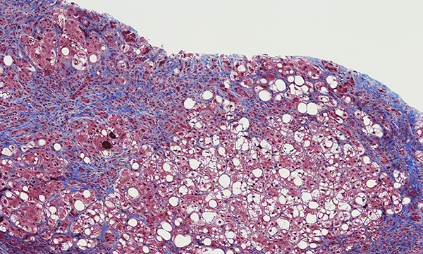
Liver disease is a common cause of death in England and Wales, and ascites is associated with a 50% mortality rate. Most patients who present with ascites have underlying liver cirrhosis, and often require therapeutic paracentesis for symptomatic relief. This article describes a competency framework that was developed to enable advanced nurse practitioners to perform therapeutic paracentesis in an ambulatory care unit.
Image
