Acute promyelocytic leukaemia: reviewing outcomes of induction treatment with arsenic trioxide and retinoic acid
Why you should read this article:
•
To enhance your understanding of disease processes and treatment regimens in acute promyelocytic leukaemia
•
To recognise the risk of potentially life-threatening complications in acute promyelocytic leukaemia
•
To explore the evidence regarding two non-chemotherapy agents for treating acute promyelocytic leukaemia
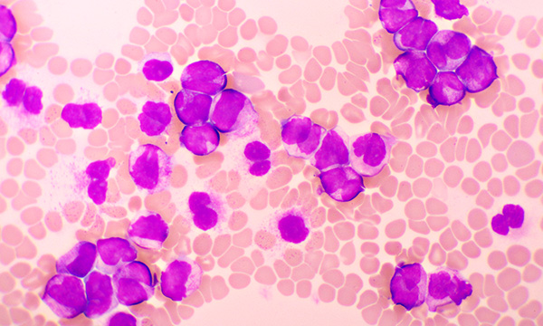
Acute promyelocytic leukaemia (APL) is a rare subtype of acute myeloid leukaemia with high mortality rates. Chemotherapy-based regimens have demonstrated effectiveness in achieving remission in APL, but they are associated with toxicities and adverse effects that often compromise patient outcomes and quality of life. In recent years two non-chemotherapy agents – arsenic trioxide (ATO) and retinoic acid, also called all-trans retinoic acid (ATRA) – have been investigated for the treatment of APL.
This article discusses the findings of a literature review comparing regimens combining ATO and ATRA (ATO-ATRA) with ATRA plus chemotherapy regimens for induction treatment in patients newly diagnosed with APL. ATO-ATRA appeared to produce better results overall than standard chemotherapy-based regimens and it has a better side effect profile. ATO-ATRA could become the induction treatment of choice for low-risk to intermediate-risk patients with APL, although more research is needed. High-risk patients normally receive chemotherapy because of the need to rapidly decrease their white blood cell count, but there is emerging evidence that ATO-ATRA without chemotherapy could also be an option in high-risk patients.
