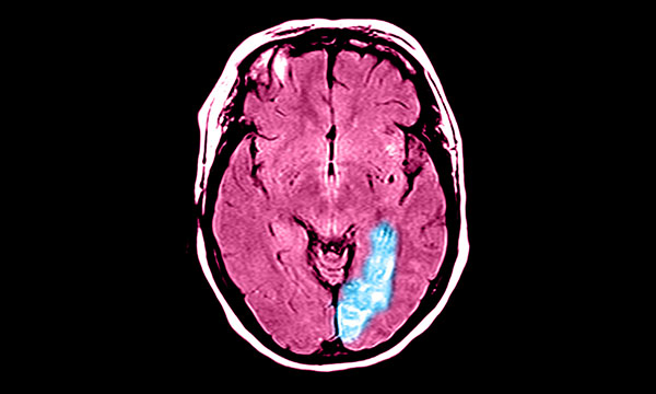
Three studies investigate the association between stroke and depression following the Stroke Association findings this year.
Many desktop publishing packages and web page editors now use Lorem Ipsum as their default model
The average nurse salary has not kept pace with inflation, or with wage increases
Nurses are lifelong learners who are always seeking ways to improve and perfect their skills.
Nursing regulator the Nursing and Midwifery Council (NMC) has tightened its rules on cosmetic pre
A child has died after an outbreak of measles in England and parents have been advised to get the
This is a summary of the peer-reviewed article: Abdominal X-rays in children: indications, proced